Rindenpilz aus dem Prater

#1
Hallo miteinander, hallo Gernot,
am Samstag habe ich im Prater an einem sehr dicken Pappelsrtumpf einen Rindenpilz gefunden, der mich sehr interessiert.
Der Pilz wuchs relativ großflächig über den halben Stumpf und ist auch relativ dick.
E0E8677F-D303-4187-B99F-7A58E97E7B38.jpeg
F480EEEE-7197-43ED-9ECF-7EC2A207E912.jpeg
1EB3358C-FC9F-4782-A201-C0FB2DD33F3C.jpeg
E7308AC8-1ACF-4200-843D-E7695CF4BE83.jpeg
AAE5CBDE-7E84-47EF-999C-393BAFDD95EB.jpeg
A8D4C4DA-B6A2-4DF6-BBDD-C2DA14FFB735.jpeg
D5EFDF4F-9081-4DF1-9964-A7F7F97F5754.jpeg
CFC8442B-5722-47C8-A96D-6C785512199A.jpeg
6E92B827-7CBC-4441-BF76-EB7BEC859437.jpeg
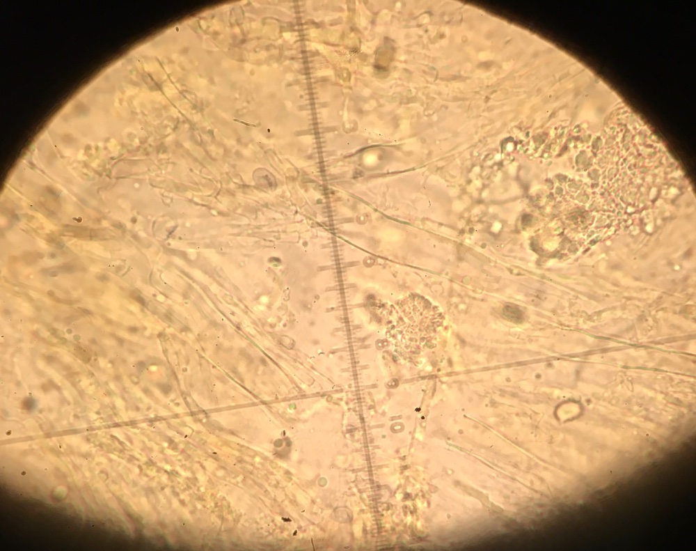
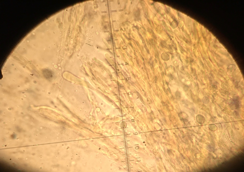
Die Sporen machen mich etwas ratlos, denn manche sind glatt und messen 5 - 5,5 x 4 - 5, die anderen sind granuliert (ich denke sie haben einen Inhalt) und messen 6 - 8 x 5. Ich nehme mal an, das sind reife und weniger reife Sporen. Überhaupt war es schwierig zu erkennen, was Sporen sind und was nicht.
FDD89F50-4895-4BA3-8C4D-AE0ADCE5B786.jpeg
95E01DC3-3DFC-4250-8510-87BD8FD165B0.jpeg
63B1E878-14DA-4FA8-9605-E3002EA9A50F.jpeg
63B8780B-B11D-4A34-98D7-0923BA585852.jpeg
B5AB3D5A-BC14-4CD6-905C-FA8DF498D77B.jpeg
F2402DFF-B336-425D-84C2-DDE1E278FDE7.jpeg
574C1DA6-2B03-4CEC-90AD-DC5B1E3AA73C.jpeg
ECF0A65F-13BD-4EFD-A99C-C5A728E101DF.jpeg
D34CE34E-7DD7-4CB1-9CC3-C08E52C1F4C0.jpeg
Ich hoffe, meine Bilder sind aussagekräftig genug für eine Bestimmung. Falls nicht, probiere ich es erneut. Mirkoskopiert habe ich etwas von eher gräulichen Bereich.

LG
romana

Re: Rindenpilz aus dem Prater

#2
Servus, Romana,

da würde ich als erstes bei Gloiothele lactescens schauen. Typische Merkmale wären lange, schlanke Gloeozystiden, schwach amyloide Sporen und schnallenlose Hyphen; der Habitus und die Ökologie würden jedenfalls gut übereinstimmen, und auch, was man so auf den Mikrofotos sieht.

Schöne Grüße
Gernot

Re: Rindenpilz aus dem Prater

#3
Hallo Gernot,
ich hab jetzt nochmals mikroskopiert und denke, dass du mit deiner Vermutung richtig liegst. Die Sporen sind amyloid und ich denke auch diese recht großen Gloeozystiden gefunden zu haben.
Danke vielmals für deine Bestimmungshilfe!
Weihnachtliche Grüße,
romana
F23E6E31-397C-418D-ABF8-EB825D07118D.jpeg
3EE6CBF7-1D0A-4916-A11A-E78337A5EE81.jpeg
68FE9F4C-C267-4B90-AD6D-78B130E05D42.jpeg
159E7989-4C37-4AA3-85DA-F003D85F5B24.jpeg