Lyophyllum schwärzend

#1
Hallo,
gestern fanden Wolfgang und ich in der Mariazeller Gegend im feuchten Fichtenwald ein schwärzendes Lyophyllum. Anfangs verfärbt es auf Druck graublau, aber eher grau, dann schwarz und über Nacht war die Verfärbung dann schwarzbraun. Es riecht leicht mehlig.
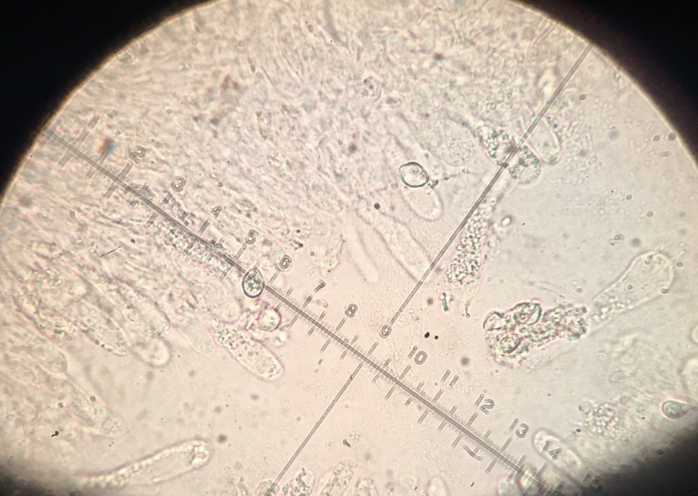
Die Sporen messen 7-10 x 5-6, sind aber eher unter 9 lang.
Ich habe mit Gröger geschlüsselt und bin bei L. deliberatum gelandet, allerdings sind dafür die Sporen etwas zu kurz. Die zweite Möglichkeit ist L. semitale.
Was meint ihr dazu?
LG
romana
4F7A9757-2784-4BB7-A71E-08D7739A7FF0.jpeg
0DC681D5-586D-4B90-8F45-BBD791E152D4.jpeg
553EC82E-86F3-41C5-8320-43DA984C4971.jpeg
74B19312-CA87-45D9-800A-64F58B82D0DC.jpeg
A8FF693D-0A9E-4940-B154-835C0AD4A7C3.jpeg
E9A318EF-6A13-4803-8535-24D2D3D03769.jpeg
8F6C6EE8-5505-4191-9FD8-E007EA2DF048.jpeg
4AB73647-571A-4FCD-9A92-2DC7EF84D447.jpeg
54F1885B-20B8-4FCE-B8FF-D1233E481D35.jpeg
49A29709-C6B5-4B47-B8EA-F99493786B5B.jpeg