Hallo,
heute war ich mit Wolfgang in der Buckligen Welt auf der Suche nach Gyromitren, die sich dann nach einiger Zeit auch finden ließen. Da kamen wir zu einem Bach und ich erinnerte mich an Vribrissea flavovirens, die ich im Waldviertel gefunden habe. Da musste ich gleich mal nachsehen. Es waren zwar kaum Holzstücke im Bach, aber auf dem ersten, dass ich näher unter die Lupe nahm, wurde ich gleich fündig. Nur ist diese Vibrissea nicht gelb, sondern weiß. Auf meiner Recherche bin ich auf Vibrissea decolorans gestoßen - der Name würd mir für meinen heutigen Fund gut gefallen. Vibrissea filispora soll ja gestielt sein, deswegen passt sie meiner Meinung nach nicht. Leider finde ich darüber nicht viel im Internet und habe keine Literatur dazu. Kann mir jemand meine Vermutung bestätigen?
LG
romana
Re: Vibrissea cf. decolorans
#2Servus, Romana,
für die sichere Bestimmung wird man m. E. nicht ums Mikroskopieren herumkommen. Dabei sind vor allem die folgenden Merkmale wichtig: Reaktion der Asci in IKI; Länge der Sporen und Anzahl der Septen; Form der Sporen (gekrümmt, in kleinere Teile zerfallend?).
Schöne Grüße
Gernot
für die sichere Bestimmung wird man m. E. nicht ums Mikroskopieren herumkommen. Dabei sind vor allem die folgenden Merkmale wichtig: Reaktion der Asci in IKI; Länge der Sporen und Anzahl der Septen; Form der Sporen (gekrümmt, in kleinere Teile zerfallend?).
Schöne Grüße
Gernot
Re: Vibrissea cf. decolorans
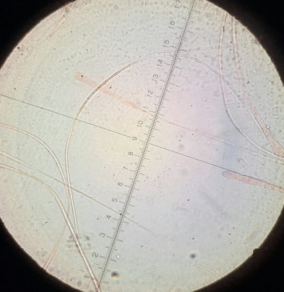
#3Hallo Gernot,
gestern hatte ich endlich Zeit, den Pilz zu mikroskopieren und hab ein paar Fotos gemacht. Mir ist trotzdem noch nicht klar, welche das jetzt ist. Die Sporen hatten meiner Meinung nach mehr als 16 Septen und sind nicht oft gebrochen. Gekrümmt waren sie auch. Die Ascusspitzen haben sich in Lugol blau verfärbt.
LG romana
gestern hatte ich endlich Zeit, den Pilz zu mikroskopieren und hab ein paar Fotos gemacht. Mir ist trotzdem noch nicht klar, welche das jetzt ist. Die Sporen hatten meiner Meinung nach mehr als 16 Septen und sind nicht oft gebrochen. Gekrümmt waren sie auch. Die Ascusspitzen haben sich in Lugol blau verfärbt.
LG romana
Re: Vibrissea cf. decolorans
#4Hallo, Romana,
die mikroskopischen Merkmale sprechen m. E. für die von dir bereits vermutete V. decolorans. Makroskopisch können z. B. V. flavovirens (Sp mit 16 Segmenten, in Teile mit je vier Segmenten zerfallend) und V. filisporia (Asci IKI–) ähnlich aussehen.
Schöne Grüße
Gernot
die mikroskopischen Merkmale sprechen m. E. für die von dir bereits vermutete V. decolorans. Makroskopisch können z. B. V. flavovirens (Sp mit 16 Segmenten, in Teile mit je vier Segmenten zerfallend) und V. filisporia (Asci IKI–) ähnlich aussehen.
Schöne Grüße
Gernot
Re: Vibrissea cf. decolorans
#5Hallo Gernot,
vielen Dank für deine Einschätzung! Ich bin den Schlüssel von Zotto durchgegangen und denke auch, dass meine erste Vermutung stimmt.
Vibrissea flavovirens hatte ich schon ein paar mal - hübscher Pilz! Bin schon gespannt, ob er sich heuer wieder an der gewohnten Stelle zeigt. Irgendwie mag ich diese Wasser-Pilze!
LG romana
vielen Dank für deine Einschätzung! Ich bin den Schlüssel von Zotto durchgegangen und denke auch, dass meine erste Vermutung stimmt.
Vibrissea flavovirens hatte ich schon ein paar mal - hübscher Pilz! Bin schon gespannt, ob er sich heuer wieder an der gewohnten Stelle zeigt. Irgendwie mag ich diese Wasser-Pilze!
LG romana