Hallo, liebe Pilzfreunde,
Ende Oktober war ich in meiner Heimat und hab auch wieder die Wiese unter dem Hochmoor, bei uns Hauswiese genannt, besucht. Da traf ich diesmal auf ganz neue Pilze, die ich dort bisher noch nicht gefunden habe.
Gliophorus laetus kannte ich schon, hab ich aber bisher nicht in St. Oswald gefunden. Diesmal traf den Pilz an zwei Stellen an, einmal davon auf der Hauswiese.
Dann fand sich noch eine orangerote Hygrocybe mit leicht herablaufenden Lamellen und glattem Hut. Ich denke, diesmal ist es H. inspida, oder liege ich schon wieder daneben?
Sporenmaße: 6,5-9 x 4-5
Die nächsten Saftlinge waren recht stattlich, die größeren dann schon an die 7-8 cm im Durchmesser und wuchsen in einem Hexenring. Auf einer Stelle waren sie mehr rot, auf einer ungefähr 3 m entfernten eher orange, sodass ich mir nicht sicher war und bin, ob es nun zwei unterschiedliche Arten sind oder bloß unterschiedlich gefärbte der selben Art. Ich hab sie mal als zwei Kollektionen fotografiert und mikroskopiert und stelle sie hier auch so ein. Leider habe ich beim Trocknen nicht daran gerochen, das hätte womöglich geholfen. Ich vermute aufgrund der Sporengröße und -form H. splendidissima, H. aurantiosplendens könnte aber auch passen.
Hier mal die eher rote Kollektion:
Sporenmaße: 7-8 x 4-5
Die eher orangefarbene Kollektion:
Sporenmaße: (6,5)7-9(11) x 3,5-5
Den nächsten Pilz habe ich zum ersten Mal gesehen, aber dennoch schnell erkannt, weil er schon auf meiner Will-finden-Liste stand. Mycena adonis zeigte sich mit ungefähr 10 Fruchtkörpern - welch eine Freude!
Im Sphagnum fand ich eine kleine Hypholoma, die vermutlich H. elongatum ist. Im Gröger sind die Sporen allerdings kleiner angegeben.
Sporenmaße: 9,5-12 x 5-6,5; Chrysozystiden zahlreich
Der letzte Pilz, den ich euch von der Wiese zeigen möchte, ist meiner Meinung nach Clavulinopsis helvola mit knotig-höckerigen Sporen.
Sporenmaße: 6-7 x 5-6 (mit Ornament gemessen)
Auf dem Nachhauseweg fand ich dann an einem morschen Fichtenstumpf neben der Straße Chrysomphalina grossula, wie ich meine. Ich denke mal, dieser Pilz ist auch makroskopisch bestimmbar. Ein weiterer Erstfund für mich, den ich auch schon lange erblicken wollte!
So, das war's mit den Pilzen von der Hauswiese. Diesmal zeigte sich eine ganz andere Pilzwelt als bisher. Die Hauswiese ist jedenfalls immer wieder für eine Überraschung gut!
Ich freue mich über Bestimmungsvorschläge und Korrekturen, denn manchmal tu ich mir schwer, die Merkmale zu interpretieren.
Liebe Grüße,
Romana
Re: Pilze von der Gegend um die Hauswiese
#2Liebe Romana,
Deine anderen Funde sehen für mich alle richtig bestimmt aus. Gratuliere zu den Erstfunden!
Schöne Grüße
Gernot
Hygrocybe insipida kann das mit den angegebenen Sporenmaßen eigentlich nicht sein. Ich würde das am ehesten für H. reidii halten, hier wäre natürlich der Geruch auch gut zu wissen gewesen.Dann fand sich noch eine orangerote Hygrocybe mit leicht herablaufenden Lamellen und glattem Hut. Ich denke, diesmal ist es H. inspida, oder liege ich schon wieder daneben?
Zumindest der liegende Fruchtkörper mit den intensiver rot gefärbten Lamellen könnte schon H. splendidissima sein – jedoch muss man hier wieder genau auf den Lamellenansatz (und eben den Geruch) achten, um H. coccinea ausschließen zu können.Hier mal die eher rote Kollektion:
Ein schwieriger Fall. Die Sporen von H. aurantiosplendens sollten häufig eingeschnürt sein, das kann ich auf deinen Fotos nicht erkennen. Überhaupt wäre es wichtig, sich die Länge der Lamellentramahyphen anzuschauen, damit man den Fund etwas genauer eingrenzen kann. Spät im Jahr wachsende Fruchtkörper von H. coccinea können häufig mal solche Farben haben, jedoch sehen die Lamellen hier eher aufsteigend aus. Orange gefärbte Formen von H. chlorophana kommen auch noch in Betracht...Die eher orangefarbene Kollektion:
Deine anderen Funde sehen für mich alle richtig bestimmt aus. Gratuliere zu den Erstfunden!
Schöne Grüße
Gernot
Re: Pilze von der Gegend um die Hauswiese
#3Lieber Gernot,
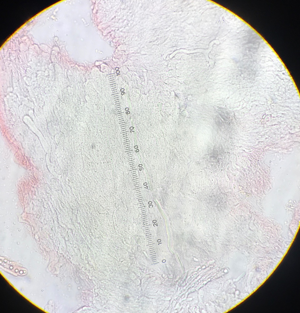
jetzt hab ich nochmals mikroskopiert und versucht die Lamellentrama darzustellen. Bin mir nicht sicher, ob mir das geglückt ist…
Die Fotos sind großteils bei 40facher Vergrößerung aufgenommen. Ich konnte die einezelnen Hyphen nicht gut erkennen, nur diese komisch langen waren gut sichtbar.
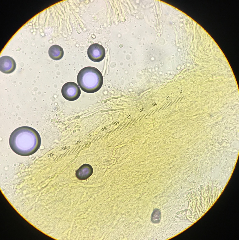
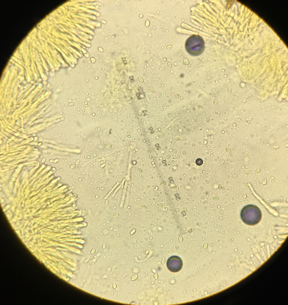
Da sich jede Menge Sporen fanden, hab ich die auch nochmals abgelichtet. Sie sind bei beiden Kollektionen so gut wie nie eingeschnürt, vielleicht sieht man das aber bei 40facher Vergrößerung auch nicht so gut.
Ich habe jedenfalls den Eindruck, dass beide Kollektionen mikroskopisch sehr ähnlich sind.
Hier die Mikrofotos der eher roten Kollektion:
Hier die Fotos der eher orangefarbenen Kollektion:
Für Tipps die Hyphen besser darzustellen bin ich jedenfalls dankbar! In Kongorot waren unzählige Bläschen, die kaum wegzubekommen waren und in Melzers diese komischen Einschlüsse…
Liebe Grüße,
Romana
jetzt hab ich nochmals mikroskopiert und versucht die Lamellentrama darzustellen. Bin mir nicht sicher, ob mir das geglückt ist…
Die Fotos sind großteils bei 40facher Vergrößerung aufgenommen. Ich konnte die einezelnen Hyphen nicht gut erkennen, nur diese komisch langen waren gut sichtbar.
Da sich jede Menge Sporen fanden, hab ich die auch nochmals abgelichtet. Sie sind bei beiden Kollektionen so gut wie nie eingeschnürt, vielleicht sieht man das aber bei 40facher Vergrößerung auch nicht so gut.
Ich habe jedenfalls den Eindruck, dass beide Kollektionen mikroskopisch sehr ähnlich sind.
Hier die Mikrofotos der eher roten Kollektion:
Hier die Fotos der eher orangefarbenen Kollektion:
Für Tipps die Hyphen besser darzustellen bin ich jedenfalls dankbar! In Kongorot waren unzählige Bläschen, die kaum wegzubekommen waren und in Melzers diese komischen Einschlüsse…
Liebe Grüße,
Romana
Re: Pilze von der Gegend um die Hauswiese
#4Liebe Romana,
schwierig, so richtig kann ich die Länge der Hyphen anhand der Fotos nicht interpretieren...
Mit Frischmaterial ist das alles übrigens wesentlich einfacher!
Bei der orangen Kollektion möchte ich ebenfalls noch H. reidii ins Rennen werfen, obwohl die Lamellen aufsteigend aussehen, aber das kann bei älteren Fruchtkörpern etwas täuschen. Nachdem die Gerüche nicht bekannt sind, wird sich das nicht mehr abschließend klären lassen, fürchte ich...
Schöne Grüße
Gernot
schwierig, so richtig kann ich die Länge der Hyphen anhand der Fotos nicht interpretieren...
Gerade bei trockenem Material sind frische Rasierklingen wichtig. Damit am besten gleich ein paar dünne Schnitte machen und diese in einen Tropfen KOH legen. Nach einer Weile kann man dann direkt in KOH mikroskopieren oder das KOH absaugen und mit Kongorot anfärben. Melzers würde ich nicht verwenden. Am Anfang würde ich eher wenig quetschen, manchmal muss man aber auch richtig Druck anwenden, um die Hyphen freizulegen.Für Tipps die Hyphen besser darzustellen bin ich jedenfalls dankbar! In Kongorot waren unzählige Bläschen, die kaum wegzubekommen waren und in Melzers diese komischen Einschlüsse…
Mit Frischmaterial ist das alles übrigens wesentlich einfacher!
Bei der orangen Kollektion möchte ich ebenfalls noch H. reidii ins Rennen werfen, obwohl die Lamellen aufsteigend aussehen, aber das kann bei älteren Fruchtkörpern etwas täuschen. Nachdem die Gerüche nicht bekannt sind, wird sich das nicht mehr abschließend klären lassen, fürchte ich...
Schöne Grüße
Gernot
Re: Pilze von der Gegend um die Hauswiese
#5Liebe Romana,
Die eher rote Kollektion: Hyphen der Lamellentrama kurz (weit unter 100 µm), Sporen nicht eingeschnürt, Pileipells eine Cutis, damit landet man bei H. splendidissima.
Heute noch die eher orange Kollektion mikroskopiert. Hat die gleichen Merkmale wie oben. Sind daher doch dasselbe. Die Abbildung in Fungi Europaei passt gut dazu. Hast du noch ein genaues Funddatum für mich für die Belege bitte?
LG
Irmgard
Die eher rote Kollektion: Hyphen der Lamellentrama kurz (weit unter 100 µm), Sporen nicht eingeschnürt, Pileipells eine Cutis, damit landet man bei H. splendidissima.
Heute noch die eher orange Kollektion mikroskopiert. Hat die gleichen Merkmale wie oben. Sind daher doch dasselbe. Die Abbildung in Fungi Europaei passt gut dazu. Hast du noch ein genaues Funddatum für mich für die Belege bitte?
LG
Irmgard